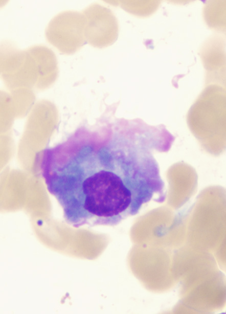
Multiple myeloma is a cancer that forms in a type of white blood cell called a plasma cell. Healthy plasma cells help to fight infections by making antibodies that recognize and attack germs. In multiple myeloma, cancerous plasma cells accumulate in the bone marrow and crowd out healthy blood cells.
Life does not stop when cancer strikes.
We are with you in this fight to win over cancer. We are here to give you the strength to recover through a comprehensive cancer care program.
